Новокузнецк ваш город?
Да
Выбрать другой город

УЗИ-аппарат
Mindray DC-55

В наличии
УЗИ-аппарат Mindray DC-55 - это передовое ультразвуковое оборудование, предназначенное для высококлассной диагностики пациентов. Благодаря своей высокой визуализации, он позволяет решать широкий спектр задач и обнаруживать даже наиболее сложные патологии тканей и органов в ранние стадии.
Лизинг
Доставка и лизинг по всей России
Включая Дагестан, Чечню и Крым
Гарантия
Гарантия на медицинское оборудование от производителя!
Послепродажный сервис
Инженерная поддержка
Инструктаж по монтажу и обучение персонала включены в стоимость
Гибкие условия
Оперативная доставка
Лизинг и доставка оборудования в наличии от 1 рабоего дня

Mindray DC-55 обладает особым преимуществом - независимо от физической конституции пациента и плотности тканей, он обеспечивает высокое качество изображений без нежелательной зернистости. Это достигается благодаря использованию специальной технологии формирования мульти-луча и режима тканевого доплера с количественным анализом.

Платформа Mindray DC-55 проста и удобна в использовании. Основной дисплей имеет размер впечатляющих 17 дюймов, что облегчает работу и упрощает представление результатов обследования пациенту. Для управления устройством применяется стандартный сенсорный дисплей размером 10 дюймов.

Такие характеристики делают Mindray DC-55 идеальным инструментом для врачей, позволяя им получать качественные изображения и комфортно работать с устройством в повседневной практике.

Базовая конфигурация Mindray DC-55 включает в себя:

  • 17-дюймовый LED-монитор высокого разрешения
  • Командный сенсорный экран 10.4" с технологией распознавания жестов и возможностью регулировки угла наклона
  • Режимы сканирования B/M/Цветовой доплер CDI/Цветной M/Энергетический доплер
  • PD/Направленный энергетический доплер Dir.PD
  • Импульсно-волновой доплер (включая режим высокой частоты повторения импульсов HPRF)
  • PSH™ - гармоника с фазовой инверсией
  • iBeam™ - режим многолучевого компаундинга
  • iClear™ - адаптивный режим шумоподавления
  • iTouch™ - автоматическая оптимизация изображения
  • iZoom™ - полноэкранный режим ультразвукового изображения
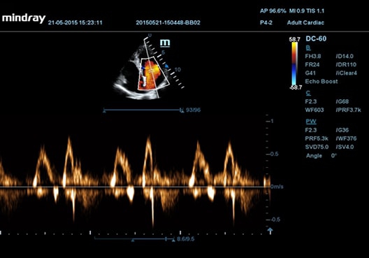
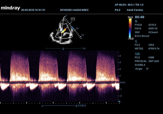
  • Echo Boost™ - режим улучшенной визуализации для кардиологии
  • HR Flow - режим отображения кровотока с высоким временным и пространственным разрешением для точной и однородной визуализации сосудов, в том числе самых мелких
  • Сохранение информации в формате "сырые данные"
  • Shared Service Package - предустановленные параметры, аннотации, маркеры, программы измерений для различных областей медицины
  • 500 ГБ жесткий диск с программой ведения базы данных пациента iStation™
  • DVD-RW привод
  • 4 разъема для подключения датчиков (штатная схема подключения: 3 обычных + 1 высокоплотный)
  • HDMI выход и порты USB 3.0
  • MedSight™ - передача информации на электронные устройства пациента (доступна для операционных систем IOS/Android, опция DICOM Basic на ультразвуковом сканере необходима для работы с устройствами на IOS)
  • MedTouch™ - управление сканером с электронных устройств врача (доступна для устройств на IOS/Android)
  • iScanHelper - встроенное обучающее программное обеспечение
  • Держатель для внутриполостного датчика (по умолчанию с левой стороны сканера, если его расположение нужно с правой стороны - выберите опцию "Right" перед заказом)

Mindray DC-55 имеет широкий спектр возможностей, включая:

  • Physio Module - модуль регистрации физиологических сигналов стандарта IEC.
  • CW - блок постоянно-волнового доплера.
  • 4D - блок объемного сканирования в реальном времени.
  • Battery - встроенная аккумуляторная батарея.
  • Built-in Wireless Adapter - встроенный адаптер для беспроводной передачи данных.
  • Smart OB™ - программа автоматического расчета и редактирования основных акушерских показателей.
  • Smart NT - программа для автоматического определения и расчета толщины воротникового пространства у плода.
  • Smart 3D™ - получение трехмерного ультразвукового изображения методом свободной руки без использования объемных датчиков.
  • iLive™ - режим построения объемного изображения с использованием виртуальной свето-теневой обработки и возможностью перемещения источника освещения.
  • iPage™ - мультисрезовое томографическое отображение с регулировкой толщины среза.
  • iNeedle™ - улучшенная визуализация игл при проведении биопсии.
  • iScape™ View - панорамное сканирование с возможностью проведения расчетов и измерений.
  • iWorks™ - автоматизированные рабочие протоколы для всех типов исследований.
  • Auto IMT Package - измерения и анализ толщины комплекса интимамедии сонной артерии.
  • Natural Touch Elastography - оценка эластичности ткани с программой анализа.
  • Free Xros M™ - анатомический М-режим с возможностью вращения курсора под произвольным углом.
  • Free Xros CM™ - огибающий анатомический М-режим.
  • TDI (Tissue Doppler imaging, including TDI Color, Power, PW and M mode) - пакет тканевой доплерографии.
  • TDI Quantification Analysis Software - количественный анализ тканевого доплера.
  • Stress Echo - пакет для проведения и оценки результатов стресс-эхокардиографии.
  • Tissue Tracking Quantification Analysis (Strain/Strain Rate) - пакет для количественной оценки движения и деформации миокарда.

Купить УЗИ аппарат Mindray DC-55

Спасибо за ваш интерес к УЗИ-аппарату Mindray DC-55. Мы, компания Medicray, специализируемся на поставках медицинского оборудования и готовы предложить вам выгодные условия.

Мы гарантируем:

  • Своевременную поставку оборудования.
  • Высокое качество продукции.
  • Оптимальные цены на рынке.

Мы также предлагаем возможность приобретения оборудования в лизинг, сотрудничая с несколькими лизинговыми компаниями. Это дает вам гибкость в выборе финансовых условий.

Процесс приобретения в лизинг у нас следующий:

  1. Оставьте заявку на нашем сайте или свяжитесь с нами по телефону 8 800 700 21 33.
  2. Наш менеджер подготовит вам коммерческое предложение на оборудование и предложит график платежей.
  3. После вашего согласия, мы поможем вам получить одобрение в лизинговой компании и заключить договор лизинга.
  4. Лизинговая компания приобретает оборудование и передает его вам в лизинг.
  5. Вы начинаете использовать медицинское оборудование, выплачивая регулярные лизинговые платежи.
  6. По окончании договора лизинга оборудование переходит в вашу собственность.

Для получения более подробной информации, выгодной цены и лучших условий финансирования, пожалуйста, свяжитесь с нами по телефону 8 800 700 21 33 или оставьте заявку на коммерческое предложение по аппарату Mindray DC-55. Мы рады ответить на все ваши вопросы и предложить оптимальное решение для ваших потребностей.

Технические характеристики
Диагональ монитора:
17 дюйм
Диагональ командной сенсорной панели:
10.4 дюйм
Вес аппарата:
85 кг
Жесткий диск:
1000 ГБ
Тип аппарата:
Стационарный
Эластография:
Компрессионная
Класс аппарата:
Средний
Поддерживаемые датчики:
Высокоплотные
Количество портов:
4
Страна производитель:
Китай
Бренд:
Mindray
Категория:
Общая визуализация, Гинекология и акушерство, Ветеринарные УЗИ-аппараты
Доступные опции
Режимы акустической прозрачности 3D:
Нет
Трехмерная реконструкция ЦДК:
Нет
Объемное сканирование:
Да
Трехмерная реконструкция методом свободной руки:
Нет
Эластография сдвиговой волной/Эластометрия:
Нет
Компрессионная эластография:
Да
Автоматическая подстройка рамки допплера:
Нет
Режим полной автоматизации:
Нет
Недопплеровская визуализация кровотока:
Нет
Тканевой допплер:
Нет
Направленный энергетический допплер:
Да
Энергетический допплер:
Да
Высокочастотный импульсный допплер:
Нет
Цветовой допплер:
Да
Постоянно-волновой допплер:
Нет
Импульсно-волновой допплер:
Да
Анатомический М-режим:
Нет
Панорамное сканирование:
Нет
Режим B-сканирования с отклонением угла:
Нет
Трапециевидное сканирование/Виртуальный конвекс:
Нет
Триплексное сканирование:
Нет
Дуплексное сканирование:
Нет
Цветной M-режим:
Да
M-режим:
Да
B-режим, Двухмерное сканирование:
Да
Область применения
Общая визуализация:
Да
Гинекология:
Да
Ветеринария:
Да
Компоненты дополнительной поставки
4D:
Да
DICOM:
Да
B-Steer:
Да
Аккумуляторная батарея:
Да
Подавление зернистости:
Да
Подогреватель геля:
Да
Стресс-эхо:
Да
ЭКГ модуль:
Да
Strain Rate:
Да
Smart 3D:
Да
iNeedle:
Да
iScape:
Да
ExFOV:
Да
TDI QA:
Да
Natural Touch Elastography:
Да
TDI:
Да
MedSight:
Да
iPage :
Да
Physio Module:
Да
iScanHelper:
Да
iWorks:
Да
PSH:
Да
iBeam:
Да
iTouch :
Да
iZoom:
Да
iStorage:
Да
iStation:
Да
iLive:
Да
iClear:
Да
Strain+:
Да
AutoIMT:
Да
Онлайн калькулятор
Цена
Ориентировочная цена модели
Аванс
10% 100%
 
Срок лизинга
12 месяцев 36 месяцев
 
Ежемесячный платёж
Первоначальный взнос
* Рассчет платежа носит информационный характер и не является публичной офертой.
Условия лизинга индивидуальны для каждого договора.
Условия лизинга
  • По всей России (Включая Крым, Дагестан и Чечню)
  • Авансовый платеж от 10% (для УЗИ брендов GE, Mindray и Samsung)
  • Оформление лизинга от 48 часов
  • Возможность досрочного погашения
  • Лизинг оборудования от 1 года

Базовая конфигурация DC-55

  • 17-дюймовый LED-монитор высокого разрешения
  • Командный сенсорный экран 10.4" с технологией распознавания жестов и возможностью регулировки угла наклона
  • Режимы сканирования B/M/Цветовой допплер CDI/Цветной M/Энергетический допплер PD/Направленный энергетический допплер Dir.PD
  • Импульсно-волновой допплер (включая режим высокой частоты повторения импульсов HPRF)
  • PSH™ - гармоника с фазовой инверсией
  • iBeam™ - режим многолучевого компаундинга
  • iClear™ - адаптивный режим шумоподавления
  • iTouch™ - автоматическая оптимизация изображения
  • iZoom™ - полноэкранный режим ультразвукового изображения
  • Echo Boost™ - режим улучшенной визуализации для кардиологии
  • HR Flow - режим отображения кровотока с высоким временным и пространственным разрешением для точной и однородной визуализации сосудов, в том числе самых мелких
  • Сохранение информации в формате "сырые данные"
  • Shared Service Package - предустановленные параметры, аннотации, маркеры, программы измерений для абдоминальных исследований, акушерства, гинекологии, кардиологии, ангиологии, исследований малых органов, урологии, педиатрии, неотложной медицины
  • 500 ГБ жесткий диск с программой ведения базы данных пациента iStation™
  • DVD-RW привод
  • 4 разъема для подключения датчиков (штатная схема подключения: 3 обычных + 1 высокоплотный)
  • HDMI выход и порты USB 3.0
  • MedSight™ - передача информации на электронные устройства пациента (доступна для операционных систем IOS/Android, опция DICOM Вasic на ультразвуковом сканере необходима для работы с устройствами на IOS )
  • MedTouch™ - управление сканером с электронных устройств врача (доступна для устройств на IOS/Android)
  • iScanHelper - встроенное обучающее программное обеспечение
  • Держатель для внутриполостного датчика (по умолчанию с левой стороны сканера, если его расположение нужно с правой стороны - выберите опцию "Right" перед заказом)

Возможные аппаратные и программные опции

  • Physio Module - модуль регистрации физиологических сигналов стандарта IEC
  • CW - блок постоянно-волнового допплера
  • 4D - блок объемного сканирования в реальном времени
  • Battery - встроенная аккумуляторная батарея
  • Built-in Wireless Adapter - встроенный адаптер для беспроводной передачи данных
  • Smart OB™ - программа автоматического расчета с возможностью ручного редактирования основных акушерских показателей: БПР, ДБ, ОГ, ЛЗР, с использованием алгоритмов автоматического оконтуривания и распознавания границ органов
  • Smart NT - программа для автоматического определения и расчета толщины воротникового пространства у плода
  • Smart 3D™ – получение трехмерного (3D) ультразвукового изображения методом свободной руки без использования объемных датчиков
  • iLive™ - режим построения объемного изображения с применением технологии виртуальной свето-теневой обработки с возможностью перемещения источника освещения (необходима опция Smart 3D или модуль 4D)
  • iPage™ - мультисрезовое томографическое отображение с регулировкой толщины среза (необходим модуль 4D)
  • iNeedle™ - улучшенная визуализация игл при проведении биопсии линейными датчиками
  • iScape™ View - панорамное сканирование – отображение на экране объектов большой протяженности (одновременное отображение на экране крупных объемных образований, структур и органов на большом протяжении и т.д.) с возможностью проведения расчетов и измерений
  • iWorks™ - автоматизированные рабочие протоколы для всех основных типов исследований
  • Auto IMT Package – измерения и анализ толщины комплекса интимамедии (КИМ) сонной артерии
  • Natural Touch Elastography - опция оценки эластичности ткани (эластография), с программой анализа. Действует на линейных датчиках 7L4A и L14-6NE
  • Free Xros M™ - анатомический М-режим - это возможность вращения курсора в М-режиме под произвольным углом (при фиксированном положении датчика) и, соответственно, получения графика движения структур сердца в различных произвольных плоскостях
  • Free Xros CM™ - огибающий анатомический М-режим (необходима опция TDI)
  • TDI (Tissue Doppler imaging, including TDI Color, Power, PW and M mode) – пакет тканевой допплерографии, включая цветное картирование, импульсный тканевой допплер, энергетический тканевой допплер и тканевой М-режим
  • TDI Quantification Analysis Software - количественный анализ тканевого допплера (необходима опция TDI)
  • Stress Echo - пакет для проведения и оценки результатов стресс-эхокардиографии (необходим Physio Module)
  • Tissue Tracking Quantification Analysis (Strain/Strain Rate) - пакет для количественной оценки движения и деформации миокарда на основе трехмерной регистрации смещения сегментов миокарда сердца (необходим Physio Module)

  • Конвексный датчик Mindray C6-2
  • Конвексный датчик Mindray 3C5A
  • Высокочастотный линейный датчик 38 мм Mindray l14-6NE
  • Линейный датчик Mindray L9-3E
  • Линейный ультразвуковой датчик Mindray 7L4A
  • Внутриполостной датчик Mindray V11-3
  • Ректально-вагинальный датчик Mindray V11-3B
  • Микроконвексный датчик Mindray 6C2
  • 3D/4D ректально-вагинальный датчик Mindray DE10-3E
  • Конвексный 4D датчик Mindray D7-2E
  • Карандашный датчик Mindray CW2s
  • Секторный фазированный ультразвуковой датчик Mindray CW5s
  • Секторный датчик Mindray P10-4E
  • Секторный фазированный датчик Mindray P4-2
  • Секторный фазированный датчик Mindray P7-3
Давайте обсудим
Покупку или лизинг
медицинского оборудования