Новокузнецк ваш город?
Да
Выбрать другой город

УЗИ-аппарат
Mindray DC-N6

В наличии
MINDRAY DC-N6 - отличный выбор сканера в среднем ценовом сегменте, который обеспечивает высокое качество ультразвуковых исследований. Основным преимуществом этой модели является ее универсальность и доступная цена. MINDRAY DC-N6 легко интегрируется в любой клинический кабинет и обеспечивает надежную работу на протяжении многих лет.
Лизинг
Доставка и лизинг по всей России
Включая Дагестан, Чечню и Крым
Гарантия
Гарантия на медицинское оборудование от производителя!
Послепродажный сервис
Инженерная поддержка
Инструктаж по монтажу и обучение персонала включены в стоимость
Гибкие условия
Оперативная доставка
Лизинг и доставка оборудования в наличии от 1 рабоего дня

Стоит отметить, что Mindray DC-N6 имеет возможность установки аккумулятора, что обеспечивает мобильность и независимость от источника питания. Также включен полный набор специальных формул и шаблонов отчетов для акушерства, упрощающих процесс документирования и анализа. Функции панорамного и точечного масштабирования позволяют детально визуализировать мелкие структуры и обеспечивают большую точность диагностики.

Основные функции Mindray DC-N6 включают:

  • PSHTM (гармоническая визуализация с фазовым сдвигом): Используется для улучшения контрастного разрешения и создания более четкого изображения с высоким пространственным разрешением и низким уровнем шума.
  • iBeamTM: Позволяет использовать несколько углов сканирования для формирования единого изображения, что повышает контрастное разрешение и улучшает визуализацию.
  • iClearTM: Улучшает качество изображения путем автоматического распознавания структур.
  • Более четкие края и контуры: Обеспечивает плавное и однородное отображение тканей, снижение зернистости в областях без эхосигнала, формирование мульти-луча и увеличение скорости обработки сигнала.
  • iScapeTM: Предоставляет полный и расширенный обзор анатомических структур с помощью панорамной визуализации, индикатора скорости и функции прямого/обратного сканирования, что делает процесс более удобным и последовательным.
  • ExFOV: Обеспечивает детализированную визуализацию анатомических структур на всех конвексных и линейных датчиках, чтобы предоставить максимальную диагностическую информацию.
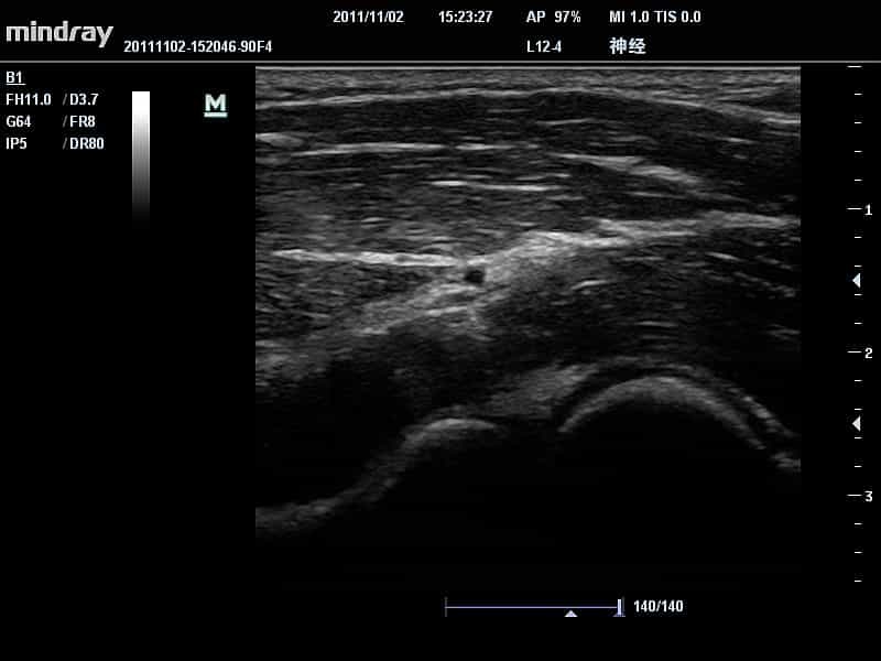
  • B-SteerTM/ iNeedleTM: Используется для улучшения видимости иглы, нервных волокон и мелких сосудов при проведении более глубокой биопсии.

Купить УЗИ ультразвуковую диагностическую систему Mindray DC-N6

Компания Medicray специализируется на поставках медицинского оборудования в клиники, медицинские и хирургические центры, стоматологии и другие лечебно-профилактические учреждения. Мы гарантируем точное соблюдение сроков поставки, высокое качество оборудования и оптимальные цены. Мы всегда открыты для индивидуальных договоренностей и готовы предложить лучшие условия на рынке!

Мы также предлагаем возможность приобретения оборудования в лизинговой форме, сотрудничая с несколькими ведущими лизинговыми компаниями.

Процесс приобретения оборудования в лизинг у нас прост и удобен:

  • Вы оставляете заявку на наше оборудование.
  • Наш менеджер подготавливает предложение на оборудование и предлагает вам гибкий график платежей.
  • После вашего одобрения лизинговая компания заключает договор лизинга и приобретает оборудование.
  • Оборудование передается вам в лизинг, и вы начинаете его использовать для своей работы.
  • Вы вносите регулярные лизинговые платежи в соответствии с договором.
  • По окончании договора оборудование переходит в вашу собственность.

Не упустите возможность обратиться к нам уже сейчас по телефону 8 800 700 21 33, чтобы получить выгодные цены и лучшие условия финансирования. Цены могут увеличиться в будущем! Оставьте заявку на коммерческое предложение по аппарату Mindray DC-N6.

Технические характеристики
Диагональ монитора:
15.3 дюйм
Жесткий диск:
320 ГБ
Тип аппарата:
Стационарный
Эластография:
Нет
Класс аппарата:
Средний
Поддерживаемые датчики:
Высокоплотные
Количество портов:
3
Страна производитель:
Китай
Бренд:
Mindray
Категория:
Общая визуализация, Ветеринарные УЗИ-аппараты
Доступные опции
Трехмерная реконструкция ЦДК:
Нет
Объемное сканирование:
Да
Трехмерная реконструкция методом свободной руки:
Нет
Эластография сдвиговой волной/Эластометрия:
Нет
Недопплеровская визуализация кровотока:
Нет
Тканевой допплер:
Да
Направленный энергетический допплер:
Нет
Энергетический допплер:
Да
Высокочастотный импульсный допплер:
Нет
Цветовой допплер:
Да
Постоянно-волновой допплер:
Да
Импульсно-волновой допплер:
Да
Анатомический М-режим:
Нет
Режим B-сканирования с отклонением угла:
Нет
Трапециевидное сканирование/Виртуальный конвекс:
Нет
Триплексное сканирование:
Нет
Дуплексное сканирование:
Нет
Цветной M-режим:
Да
M-режим:
Да
B-режим, Двухмерное сканирование:
Да
Область применения
Общая визуализация:
Да
Компоненты дополнительной поставки
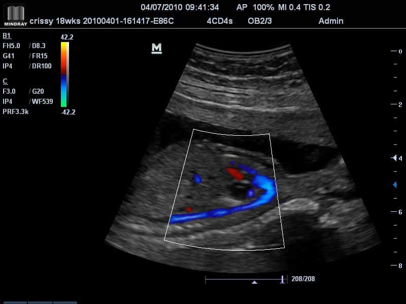
4D:
Да
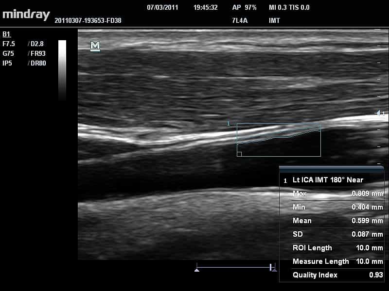
IMT (Intima Media thickness):
Да
Аккумуляторная батарея:
Да
iScape:
Да
TDI QA:
Да
ECG Module (ICE):
Да
CW Module:
Да
Stress Echo:
Да
TDI:
Да
Онлайн калькулятор
Цена
Ориентировочная цена модели
Аванс
10% 100%
 
Срок лизинга
12 месяцев 36 месяцев
 
Ежемесячный платёж
Первоначальный взнос
* Рассчет платежа носит информационный характер и не является публичной офертой.
Условия лизинга индивидуальны для каждого договора.
Условия лизинга
  • По всей России (Включая Крым, Дагестан и Чечню)
  • Авансовый платеж от 10% (для УЗИ брендов GE, Mindray и Samsung)
  • Оформление лизинга от 48 часов
  • Возможность досрочного погашения
  • Лизинг оборудования от 1 года

Современные технологии:

  • iClear ™: обеспечивает значительное снижение зернистости изображения для лучшего различия тканей; улучшает детализацию, увеличивая при этом диагностическую достоверность; увеличивает контрастное разрешение без изменения пространственного разрешения
  • iScape ™: панорамное отображение изображений
  • iBeam ™: технология увеличения пространственного разрешения изображения без изменения частоты кадров
  • Фазово-инверсная тканевая гармоника
  • Широкополосные и мультичастотные датчики обеспечивают качественную визуализацию

Эргономика и рабочий процесс:

  • ITouch ™: интеллектуальная оптимизация изображения одним нажатием
  • iZoom ™: автоматическое увеличение изображения на размер экрана одной кнопкой без потери качества и детализации
  • iRoam ™: модуль беспроводной передачи данных
  • Возможность прямого соединения с ПК
  • DICOM 3,0
  • IPOWER: стабильная система питания, работа в непрерывном режиме до 2 часов, встроенная перезаряжаемая аккумуляторная батарея

Применение аппарата DC-N6:

  • Широкий набор датчиков для различного клинического применения
  • Высокое разрешение изображения на основе передовых технологий
  • iScape ™: панорамные изображения
  • Трапецеидальный режим
  • Полный набор прикладных программ вычислений и измерений
  • Программируемые пользователем измерения и вычисления

Акушерство и гинекология:

  • Полный набор акушерских формул и профессиональных шаблонов отчётов
  • Smart 3D ™: 3D-реконструкция методом свободной руки
  • Новый трансвагинальный датчик: широкий угол сканирования, малый вес, изогнутая ручка (особенно удобно при биопсии)
  • Различные технологии масштабирования позволяют визуализировать малые структуры

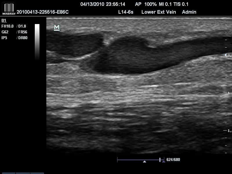
Кардиология и сосудистые измерения:

  • Автоматические расчёты в режиме реального времени для режима импульсно-волнового доплера (PW)
  • IMT: Автотрассировка и измерения толщины интима-медиа
  • FreeXros ™: анатомический M-режим
  • Auto LV quantification (автоматическое измерение систолы и диастолы левого желудочка)

Дополнительные опции Mindray DC N6:

  • Встроенная батарея для автономной работы в течение не менее 1 часа
  • CW - Блок постоянно-волнового допплера
  • 4D - Блок объёмного сканирования в реальном времени (необходим датчик 4CD4)
  • Модуль ЭКГ (ICE)
  • iScape View - Панорамное сканирование
  • Free Xros - Анатомический М-режим
  • TDI - Тканевой допплер, включая цветное картирование, импульсный тканевой допплер, энергетический тканевой допплер и тканевой М-режим
  • TDI QA - Программа количественного анализа в режиме тканевого допплера (требуется установленная опция TDI)
  • Free Xros CM Mode - Огибающий анатомический М-режим (необходима опция TDI)
  • Stress Echo - Пакет для проведения и оценки результатов стресс-эхокардиографии
  • Smart3D - Опция трехмерной реконструкции методом "свободной руки"
  • IMT - Автоматический расчёт толщины интима-медиа с программой анализа

Пакеты программ для ультразвукового сканера Mindray DC-N6:

  • ABD – режимы обследований, аннотации, метки тела и пакеты измерений для абдоминальных исследований;
  • OB – режимы обследований, аннотации, метки тела и пакеты измерений для акушерства;
  • GYN – режимы обследований, аннотации, метки тела и пакеты измерений для гинекологических исследований;
  • CARDIAC – режимы обследований, аннотации, метки тела и пакеты измерений для кардиологических исследований;
  • SMP – режимы обследований, аннотации, метки тела и пакеты измерений для исследования малых органов;
  • URO – режимы обследований, аннотации, метки тела и пакеты измерений для урологии;
  • PED – режимы обследований, аннотации, метки тела и пакеты измерений для педиатрии;
  • PV – режимы обследований, аннотации, метки тела и пакеты измерений для исследований периферических сосудов;
  • Nerve - режимы обследований, аннотации, метки тела и пакеты измерений для исследований нервов;
  • EM – специфические отчёты для реанимационной медицины.

  • Конвексный датчик Mindray C5-2
  • Микроконвексный датчик Mindray 6C2
  • Микроконвексный внутриполостной датчик Mindray V10-4
  • Микроконвексный внутриполостной датчик Mindray V10-4B
  • Линейный УЗИ датчик Philips L12-4
  • Мультичастотный линейный датчик Mindray L14-6
  • Линейный ультразвуковой датчик Mindray L7-3
  • Линейный ультразвуковой датчик Mindray 7L4A
  • Линейный датчик Mindray 7L5
  • Линейный интраоперационный Т-образный датчик Mindray 7Lt4
  • Секторный фазированный датчик Mindray P4-2
  • Секторный фазированный датчик Mindray P7-3
  • Секторный фазированный ультразвуковой датчик Mindray CW5s
  • Эндоректальный биплановый датчик Mindray Cb10-4
  • Мультичастотный конвексный датчик УЗИ Mindray 4CD4
Давайте обсудим
Покупку или лизинг
медицинского оборудования